Ce qu’est la tuberculose
- Premières descriptions cliniques
L’ADN de M. tuberculosis a été retrouvé dans des momies égyptiennes vieilles de 4 500 ans, et des références sont faites à la maladie dans le Deutéronome sous le nom hébreu de schachepheth.
Dès l’Antiquité gréco-latine, plusieurs auteurs ont décrit une maladie amaigrissante au long cours, dénommée suivant les uns « phtisie » (pour dépérissement), suivant les autres « tabès ».
Ainsi Hippocrate (Ve-IVe siècle av. J.-C.) fait-il mention d’infections bronchopulmonaires et pleurales à évolution très lente, parmi lesquelles les consomptions d’origine thoracique occupent une place très importante. Il en dresse les symptômes, tels que l’amaigrissement progressif, la langueur, la toux et la présence de sang dans les crachats. - Définition
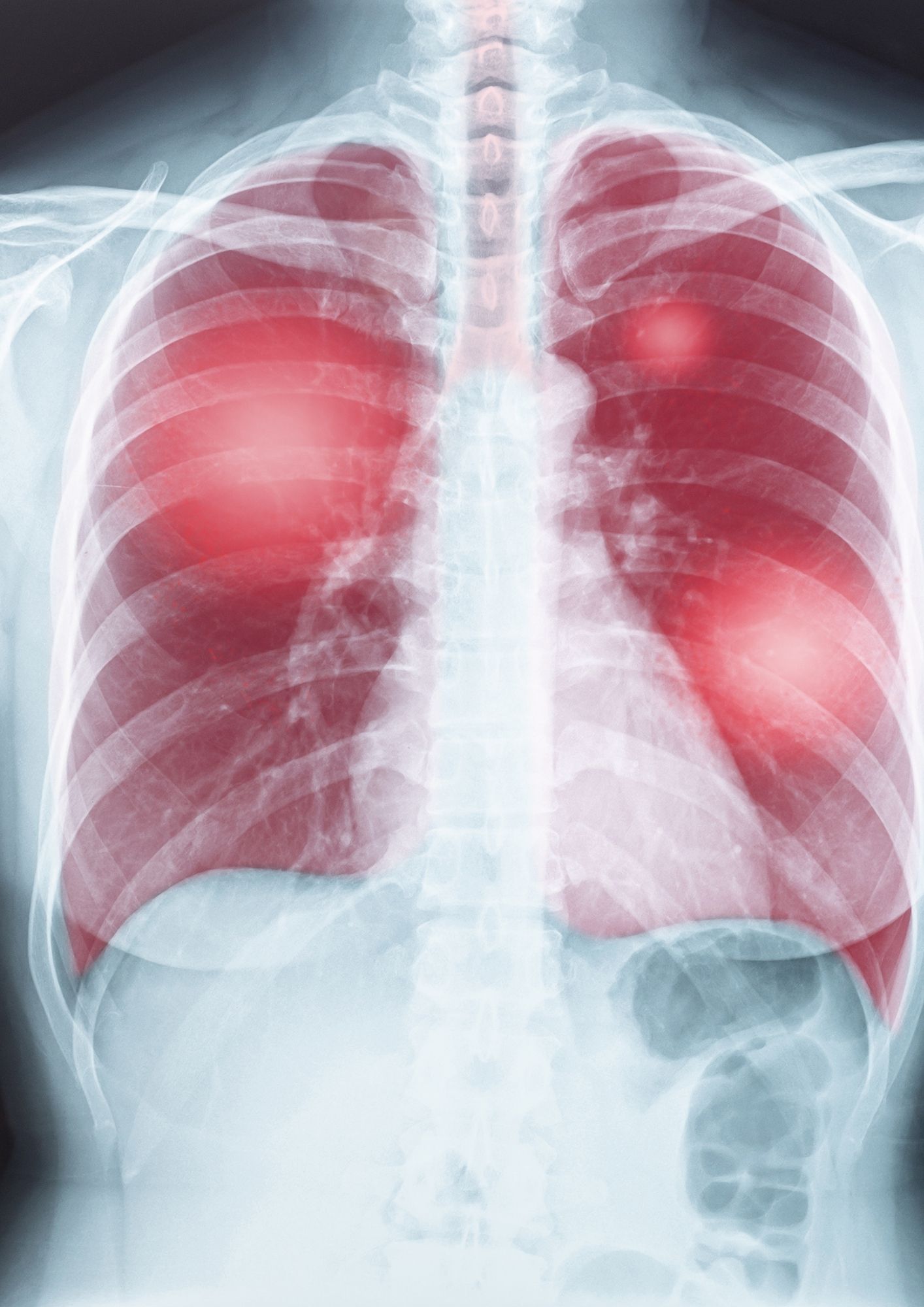
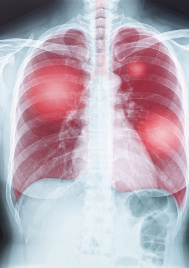
La tuberculose est une maladie contagieuse qui s’attaque habituellement aux poumons, mais parfois aussi à d’autres parties du corps, comme les reins, les ganglions et les os. - Transmission
Le bacille de Koch se transmet par des gouttelettes de salive qui se retrouvent en suspension dans l’air lorsqu’une personne tousse, éternue, chante ou joue d’un instrument à vent, et non en touchant une personne contagieuse ; Il faut généralement un contact répété ou prolongé avec une personne contagieuse pour contracter l’infection ;

Deux découvertes providentielles
On doit au botaniste allemand Hermann Brehmer l’« invention » du sanatorium. La recette de son établissement était « air pur, temps frais, soleil, repos complet, nourriture abondante ».
En 1895, Wilhelm Röntgen découvre les rayons-X qui deviennent quasi immédiatement l’outil de base de la détection de la tuberculose.
Le traitement
« La tuberculose nous accompagne probablement depuis le début de l’humanité et a toujours représenté une des premières causes de mortalité. Curieusement, on pensait qu’elle avait disparu, mais, aujourd’hui encore, elle tue environ 1,5 millions de personnes par an. La méconnaissance de la tuberculose est peut-être liée au fait que, petit à petit, nous nous sommes habitués à vivre avec ce fléau et que nous évitons d’en parler.
Pendant des millénaires, l’homme a été relativement dépourvu de moyen de lutte contre la tuberculose. Jusqu’au début du XXe siècle, le seul remède était le repos dans un sanatorium, de préférence en altitude. Il est vrai que ce « traitement » a occasionnellement abouti à la guérison, peut-être parce que le repos, le calme, le bon air et la bonne nourriture contribuaient à renforcer le système immunitaire, lui permettant ainsi de quelque peu contrôler la maladie. Cependant, les rechutes étaient fréquentes, montrant que ces séjours en sanatorium ne permettaient pas, en fait, une vraie guérison, durable dans le temps.
Une grande avancée dans la lutte contre la tuberculose a été réalisée dans la première partie du XXe siècle.
Les années 1920 ont en effet vu naître le premier vaccin contre cette maladie, le bacille bilié de Calmette et Guérin (le BCG). Les premiers essais cliniques multicentriques d’efficacité réalisés en France entre 1924 et 1926 sur plus de 5 000 enfants ont montré une efficacité de 93 % contre la tuberculose mortelle chez le jeune enfant. La vaccination avec le BCG a dès lors été recommandée afin de protéger les nourrissons, dès la naissance, contre les formes les plus graves de cette maladie.
Alors qu’il est actuellement bien admis qu’il protège efficacement contre différentes formes de tuberculose chez le nourrisson, en particulier contre la méningite tuberculeuse, la tuberculose disséminée et mortelle, l’efficacité du vaccin contre la tuberculose pulmonaire, chez l’adulte, n’atteint guère qu’environ 50 %. »
Source : Med Sci (Paris) Volume 32, Number 6-7, Juin–Juillet 2016 Page(s) 535 – 536; publié en ligne le 12 juillet 2016

